
Стоматология в Хуньчуне - лечение зубов и имплантация
Лечение проводится с цифровой диагностикой и современными технологиями — точно, предсказуемо и без лишнего стресса. Большинство процедур занимает от 3 дней, а стоимость в Хуньчуне обычно ниже, чем в Европе и России, без потери качества.
Протезирование зубов в Хуньчуне помогает решить всё в одном месте — от консультации до финального результата, совмещая лечение и отдых с понятным бюджетом.
Содержание
- Что нужно сделать перед поездкой в Хуньчунь
- Все о стоматологических услугах в Хуньчуне
- Съемные зубные протезы в Хуньчуне: виды, материалы изготовления, особенности выбора
- Примеры съемных зубных протезов в Хуньчуне
- Протезирование зубов в Хуньчуне с использованием коронок
- Примеры зубных коронок в Хуньчуне
- Имплантация зубов в Хуньчуне: описание и фото
- Примеры имплантации зубов в Хуньчуне
- Дополнительные преимущества лечения зубов в Хуньчуне
- Как выбрать клинику?
- Как проходит поездка?
- Отзывы пациентов
- Рассчитать стоимость лечения
Что нужно сделать перед поездкой в Хуньчунь
- Убедитесь в что Ваш заграничный паспорт будет действителен на момент поездки.
- Соберите данные для первичной консультации. Сделайте панорамный снимок зубов в местной стоматологии, и дополните его перечнем стоматологических процедур, которые Вам требуются. Это необходимо для того, чтобы менеджеры компании могли связаться со специалистами в клиниках ХуньЧунь и озвучить клиенту точную стоимость и сроки лечения.
- Подготовьте наличность до поездки. Обменный курс в Китае и России имеет разницу в 1-3 юаня с 1000 рублей. Например, если вы будете менять 100 000 рублей на юани в России у вас будет на 100-300 юаней больше. Перед отправкой, вы можете узнать у организатора поездки или туроператора текущий курс юаня в Китае.
- Поездка до города ХуньЧунь проходит на туристическом автобусе, дорога от Владивостока, до границы занимает 4-5 часов езды. Если вы недавно перенесли операцию или тяжелую болезнь, обязательно проконсультируйтесь с лечащим врачом для получения рекомендаций. В некоторых случаях, такая поездка, может быть, категорические запрещена. Обязательно поставьте об этом в известность организаторов поездки!
Все о стоматологических услугах в Хуньчуне
Зубы — важная часть здоровья: проблемы с ними мешают нормально жевать, вызывают боль и дискомфорт и повышают нагрузку на ЖКТ. При запущенных случаях зубы приходится удалять и восстанавливать протезами, коронками или имплантами. Основные виды стоматологических услуг в Китае и России схожи и включают:
- Зубные протезы
- Протезирование зубными коронками
- Имплантация зубов
- Лечение зубов
Далее мы постараемся подробно описать, какое бывает лечение и протезирование зубов в Китае, поговорим о преимуществах и недостатках, затронем вопрос стоимости лечения зубов.
Съемные зубные протезы в Хуньчуне: виды, материалы изготовления, особенности выбора
Кому подходит: при полном или частичном отсутствии зубов. Подходит также пациентам с выраженной атрофией костной ткани, когда имплантация затруднена или временно не планируется.
Противопоказания: при наличии аллергии на металл используются конструкции без металлического каркаса — из современных гипоаллергенных материалов.
Сроки: изготовление и установка занимают 2–4 дня.
Гарантия: от 3 до 10 лет (у разных клиник).Стоимость от 25 000 рублей зависит от модели.

Примеры съемных зубных протезов в Хуньчуне
Протезирование зубов в Хуньчуне с использованием коронок
Протезирование в Хуньчуне — это шанс восстановить улыбку без лишних затрат и ожиданий. Мы поможем выбрать клинику и специалиста, подготовим понятный план лечения и возьмём на себя организацию поездки: консультации, трансфер, проживание и сопровождение. Вы просто приезжаете — остальное уже продумано.
Какие бывают коронки?
Коронки делают из разных материалов: есть более простые варианты и решения премиум-класса. Чтобы ориентироваться было проще, выделим самые востребованные направления.
В практике протезирование чаще всего опирается на два материала, которые уверенно держат первое место по сочетанию цены, прочности и внешнего вида: металлокерами и цирконий. Именно эти коронки выбирают чаще всего, поэтому дальше логично сравнить их между собой.
В следующем блоке разберём, чем отличаются металлокерами и цирконий, и какие коронки лучше подходят под разные задачи.
Кому подходят: Зубные коронки подходят, если зуб сильно разрушен кариесом или сколом, после лечения каналов стал хрупким, есть трещины или выраженная стираемость. Их ставят, чтобы восстановить форму и жевательную функцию, улучшить эстетику при потемнении и дефектах, а также при протезировании — на имплант или как опору под мост, включая замену старых изношенных коронок.
- Цена. Хорошее соотношение цены и качества.
- Реалестичный цвет и внешний вид.
- Прочность.
- Защищает ваши зубы.

Примеры зубных коронок в Хуньчуне
Имплантация зубов в Хуньчуне: описание и фото
Кому подходит: подходит для пациентов, у которых отсутствуют зубы по различным причинам.
Группы противопоказаний: пациенты с неконтролируемым воспалением пародонта, плохой гигиеной полости рта, выраженной костной резорбцией в области имплантата и т.д.
Продолжительность операции: обычно она занимает от 15 минут, зависит от количества и расположения зубных имплантатов.
Может дополнительно понадобиться: Наращивание кости. Если у пациента слишком давно отсутствуют зубы, это приводит к исчезновению костной массы, для этого доктор может проводить дополнительную операцию по наращиванию кости
Стоимость: От 30 000 рублей за имплант+абатмент+зубную коронку
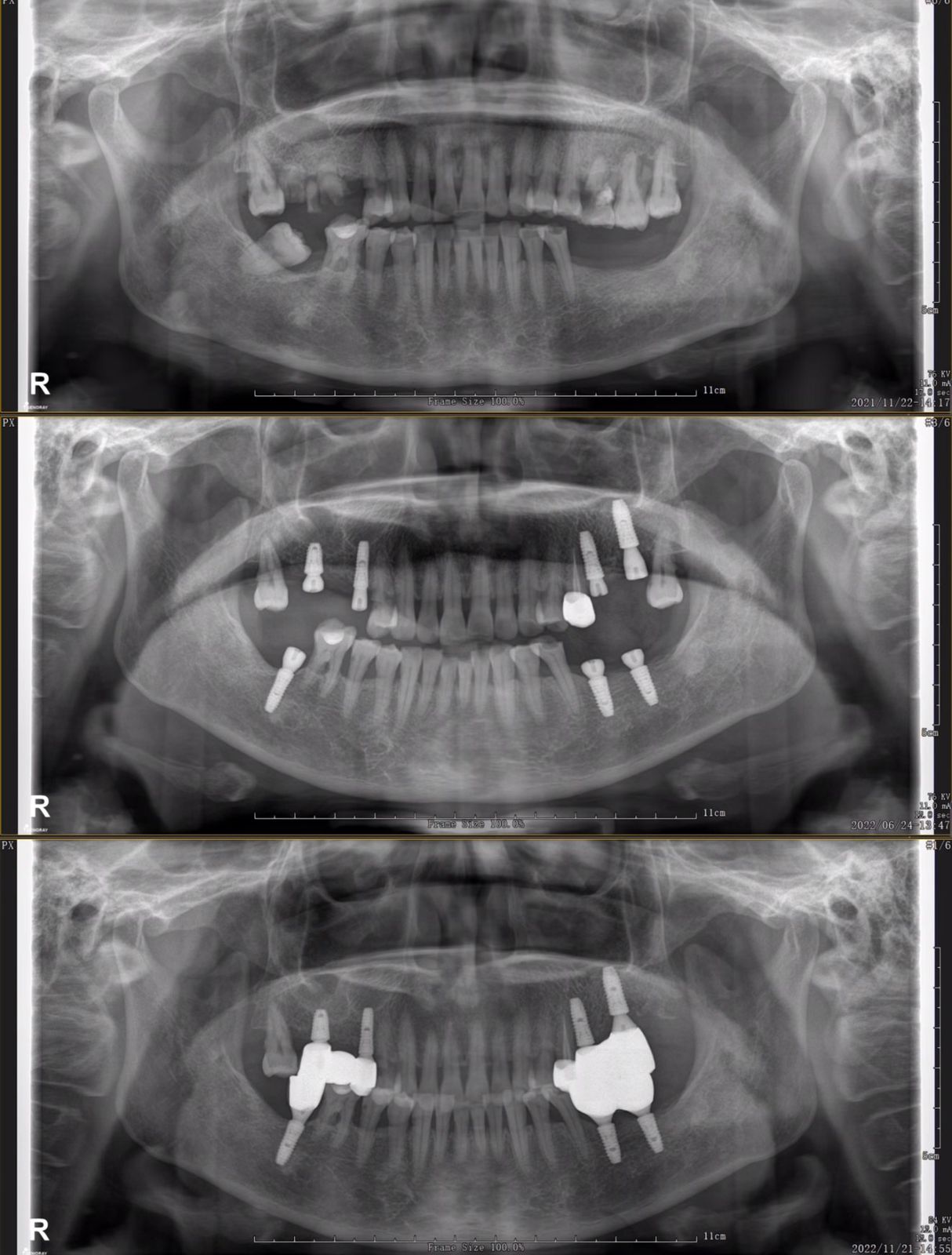
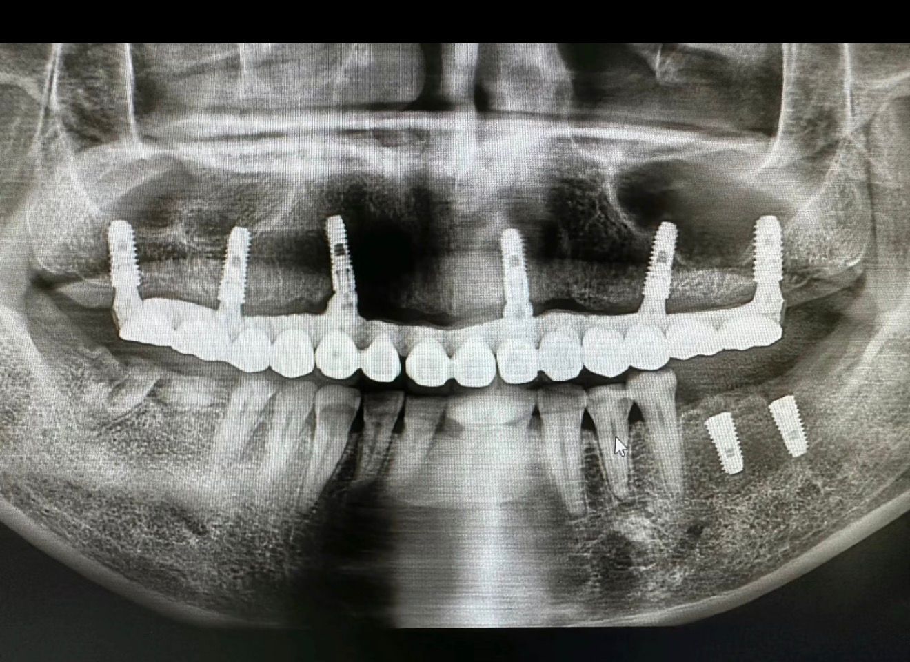
Дентальная имплантация — это способ восстановить утраченные зубы с помощью искусственной опоры, которая устанавливается в костную ткань челюсти и служит основанием для будущего протеза. Конструкция обычно состоит из двух элементов: имплантата (аналог корня), который фиксируется в кости и обеспечивает надёжную поддержку, и коронки (видимая часть), которая возвращает зубу форму и полноценную жевательную функцию.
- Надёжная фиксация и естественный вид.Имплантат удерживается в кости, поэтому восстановленный зуб ощущается и выглядит максимально близко к своему. По устойчивости и эстетике имплантация часто превосходит классические протезы.
- Комфорт в повседневной жизни.В отличие от съёмных решений, здесь нет массивного основания и элементов, которые могут натирать или мешать. Это делает привыкание быстрее, а ощущения — более естественными.
- Поддержка гигиены и здоровья полости рта.Имплант с коронкой чистится как обычный зуб, поэтому уход становится проще. Хорошая гигиена помогает снизить риск воспалений и других стоматологических проблем.

Примеры имплантации зубов в Хуньчуне
Дополнительные преимущества лечения зубов в Хуньчуне




Как выбрать клинику?
Перейти к клиникамНажав на кнопку, вы сможете увидеть полный список клиник в Китае. При выборе медицинского учреждения обратите внимание на:
- Отзывы — ищите разные источники, а не только положительные комментарии;
- Консультацию с организаторами тура — их опыт и рекомендации помогут подобрать оптимальный вариант;
- Личный опыт знакомых. По статистике 23% россиян выбирают Китай, возможно, кто-то из ваших друзей уже проходил там лечение
Как проходит поездка?
- Первичный приём у стоматолога, осмотр и диагностика (рентген/КТ при необходимости);
- Подготовка зубов к лечению;
- Снятие слепков;
- Подбор оттенка будущих зубных конструкций;
- Изготовление и установка временных зубов.
- При отсутствии необходимости дополнительного лечения пациент располагает свободным временем и может использовать его по своему усмотрению (прогулки, отдых, экскурсии).
- Примерка постоянных зубных конструкций и фиксация на временный цемент;
- Оценка комфорта и адаптация в течение дня;
- При отсутствии замечаний проводится окончательная фиксация на постоянный цемент.
- При отсутствии жалоб — возвращение домой. Выезд из Китая в 10:30, прибытие во Владивосток в 17:30;
- При наличии замечаний — дополнительный визит в клинику в 08:00 для корректировки. Выезд из Китая в 12:30, прибытие во Владивосток в 19:30.
Фото выполненных работ и отзывы пациентов
Раздел объединяет фото из отзывов стоматологических туров и фото из блока «Разделы историй».




















